Una herramienta clave para optimizar la toma de decisiones médicas
La detección temprana de enfermedades es una de las herramientas más poderosas para salvar vidas y mejorar el pronóstico de los pacientes. Identificar problemas de salud en etapas iniciales permite actuar rápidamente, prevenir complicaciones graves y reducir costos hospitalarios. En esta guía te mostraremos cómo el Mindray DC-70, un ultrasonido de alta precisión, se ha convertido en un aliado estratégico para hospitales, clínicas y consultorios que buscan ofrecer diagnósticos confiables y oportunos.
Diagnóstico erróneo en embarazo temprano.
Una paciente en gestación temprana acudió a su primera ecografía obstétrica. El estudio, realizado por vía abdominal, no mostró estructuras gestacionales. Con base en estos hallazgos, se planteó un diagnóstico de posible aborto espontáneo o embarazo anembriónico (tipo de aborto espontáneo en el que se forma el saco gestacional y la placenta, pero nunca se desarrolla un embrión). No obstante, sus niveles hormonales indicaban que la gestación continuaba. La paciente buscó una segunda opinión, lo que cambió por completo la historia clínica.
Días después, se realizó una ecografía transvaginal utilizando un ultrasonido de alta resolución DC-70 de Mindray, en la cual se observa un saco gestacional intrauterino con polo fetal (la primera señal visible en ecografía de que el embarazo está en el útero y el bebé ya empieza a formarse), y una edad gestacional estimada de 5 semanas y 6 días, sin signos de pérdida.
Factores que contribuyeron a un diagnóstico erróneo inicial.
Antes de la sexta semana, la ecografía abdominal puede no mostrar estructuras embrionarias. De igual forma existen ciertas limitaciones con un ultrasonido de la vía abdominal ya que tiene menor resolución que la transvaginal. Otro de los factores son la tecnología del equipo médico, existen equipos con menor resolución que dificultan la detección temprana de la gestación.
Cómo el DC - 70 de Mindray optimiza un buen diagnóstico.
El DC - 70 integra varias características que lo hacen ideal para embarazos tempranos:
- Alta resolución de imagen en etapas tempranas: Cuenta con transductores de alta frecuencia y tecnología de procesamiento de imagen avanzada (como iClear™ para reducción de ruido y iBeam™ para mejor contraste). Permite visualizar estructuras pequeñas, como el saco gestacional.
- Modos avanzados de ecografía: Incluye Doppler color y flujo sanguíneo de alta sensibilidad. Elastografía (con variaciones como Natural Touch Elastography) para evaluar la rigidez de tejidos.
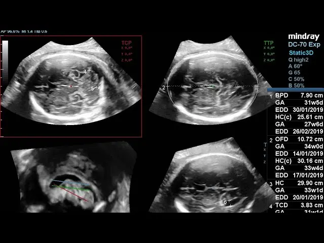
- Funciones específicas para Obstetricia/Ginecología: Con herramientas de precisión con adquisición inteligente Smart Planes CNS que permite obtener planos estándar del cerebro fetal y mediciones automáticas confiables. Así como SmartFace, iLive con Hyaline que mejoran el realismo anatómico, permiten rendereado más claro del feto, y mediciones automáticas del feto (BPD, HC, AC, FL).
- Procesamiento rápido de imágenes: Tecnología X‑Engine para acelerar la formación de imágenes y mejorar la precisión, acelera la formación de imágenes, especialmente en modalidades más exigentes como 3D/4D. Reduce latencia / tiempo de procesamiento de imágenes, útil en prácticas de alto volumen.

Doppler Color

iClear™

Smart Planes CNS
Gracias a estas características, el equipo contribuye a evitar diagnósticos erróneos y permite a los médicos tomar decisiones clínicas basadas en información confiable y precisa.
En conclusión el diagnóstico en etapas tempranas del embarazo depende de la combinación de técnica correcta, momento oportuno y tecnología avanzada. El uso de ultrasonidos de alta resolución como el Mindray DC - 70 puede marcar la diferencia, evitando falsas interpretaciones y ofreciendo tranquilidad tanto a médicos como a pacientes.